Soft-Tissue Laser

The Soft-Tissue Laser is a device that can be used to remove extra gum tissue. The big advantage of the laser is that it is so gentle that no injections are necessary to remove excess gum tissue!
Potential uses of the soft-tissue laser
- Uncover teeth that are delayed in coming through the gum tissue.
- Remove overgrown gum tissue resulting from insufficient brushing and flossing.
- Esthetic trimming of the gums (if minor) at the end of braces
treatment.

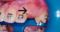
Before: The arrow points to a tooth that was just under the gum tissue where it refused to come through the gum for a period of 8 months! This was significantly slowing down this patient's treatment.

During: A Diode Soft-Tissue Laser was used to remove the gum tissue covering this tooth. No injections were given and the procedure was done in less than 5 minutes.
After: Once uncovered, an orthodontic bracket was placed on the tooth so treatment could progress once again.











